
Understanding TMJ
What Are CEREC Dental Restorations?
Since 1985 CEREC by Sirona has remained the preferred CAD/CAM technology of dentists worldwide for the fabrication of porcelain dental restorations in a single treatment appointment. CEREC is proven by thousands of clinical studies and is offered by thousands o dentists to millions of patients around the world each year. At Core Smiles, we have been providing CEREC restorations to our patients for over 10 years!
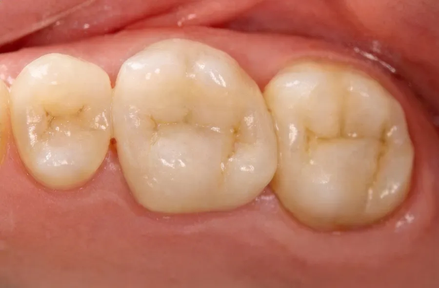
If a tooth is damaged or worn down, it can be protected with a dental crown. Also known as a cap, crowns are custom made to fit over your tooth and colored to precisely match your surrounding teeth for a seamless appearance.
At Core Smiles Cosmetic and Implant Dentistry in New York, NY, a dental crown may be placed to restore a tooth that has large areas of decay, to reinforce a weak tooth, restore a cracked tooth, or cover a discolored tooth. Our team offers metal-free porcelain crowns to help strengthen or repair a tooth while also improving the overall health of your smile. Contact our New York, NY practice today to schedule a consultation or to learn more about restorative dental crowns.

Dr. Steven Cordoves & Dr. Michael Gulizio
— Dan C. New York, NY
One Visit
Single Appointment Crowns, Inlays, Onlays & Veneers
Most dental restorative methods require more than one visit to the dentist. This means that on the first visit, you get an injection of anesthesia, your tooth is prepared, an impression made and a temporary restoration is temporarily cemented on your tooth while the impression is sent out to a dental laboratory. You would then need to make a second appointment for 2-3 weeks later, get another injection. have the temporary restoration pried off (if it hasn't fallen off already), and have a permanent restoration put on.
However, at Core Smiles we use state of the art technology and computer aided design to fabricate a permanent crown in our office using CEREC. That means that all of the can be accomplished in a single visit - most times in less than 2 hours - and you do not have to wear a temporary crown or live with a temporary restoration. Instead, you'llwalk out the door with a dental crown and natural tooth in one single visit!

Benefits
Benefits of One-Visit CEREC Dental Restorations
TMJ refers to the temporomandibular joint, which is the bone structure, cartilage and connective tissue that surround the jaw and control chewing. Disorders of this joint are referred to as Myofascial Pain Dysfunction or TMJ Disease.
Enhanced aesthetics
Precise and accurate results
Minimal invasiveness
Durable and long-lasting
Eliminates the need for temporary restorations
Customized for you
Why CEREC
Metal-Free, Precision-Crafted Restorations
CEREC is remarkable dental technology that has revolutionized the way we approach single tooth restorations. With its advanced capabilities, it can effectively address a variety of issues, such as chipped or discolored front teeth. By utilizing CEREC porcelain anterior crowns or veneers, our experienced dentists can restore the appearance and functionality of your damaged teeth with precision.
One of the key advantages of CEREC is its longstanding history of success, spanning over 23 years. Throughout this time, it has been instrumental in aiding dentists worldwide to place millions of permanent crowns. This track record speaks volumes about the reliability and efficiency of this equipment in achieving optimal dental results.
What truly sets CEREC apart is its use of metal-free materials that closely mimic the natural enamel of teeth. This ensures that your restorations not only look incredibly lifelike but also provide you with the highest quality care. By harnessing the power of CEREC technology, we are able to deliver restorations that seamlessly blend in with the rest of your smile, creating a beautiful and long-lasting solution.
At Core Smiles in NYC, we are proud to offer our patients the benefits of CEREC technology. Our skilled dentists, coupled with this state-of-the-art equipment, enable us to provide you with exceptional restorative care that is efficient, convenient, and most importantly, ofthe highestst quality. quality. Say Sy goodbye to long waiting periods and multiple dental visits, visits,and say hello to superior results with CEREC.
%201.webp)
Old, corroded silver fillings with decay and fractures in teeth
%202.webp)
Old, corroded silver fillings with decay and fractures in teeth
FAQ
Frequently Asked Questions About CEREC Same-Day Crowns
What are CEREC same-day crowns?
TMJ disorder (TMD) can cause a variety of symptoms, including jaw pain, clicking or popping noises, difficulty opening or closing the mouth, headaches, ear pain or pressure (including ringing/tinnitus), facial muscle tension, and difficultychewing. These symptoms can worsen with stress, prolonged talking, or eating hard foods.
Who is a good candidate for CEREC crowns?
At Core Smiles in NYC, we diagnose TMJ disorder through a comprehensive clinical evaluation that includes a detailed medical and dental history, bite analysis, muscle palpation, and advanced imaging such as 3D CBCT scans when appropriate. This helps us determine the root causes of your symptoms and tailor a precise treatment plan.
How long does a CEREC procedure take?
TMJ treatment depends on your symptoms and diagnosis. Common evidence-based approaches include:
- Custom bite splints and orthotics
- Myofascial release and physical therapy
- Trigger point injections
- Medications for muscle relaxation or inflammation
- Botox for chronic muscle-related pain
- Lifestyle and behavioral modifications
Are CEREC crowns covered by insurance?
Yes. TMJ dysfunction often refers pain to surrounding structures, which can lead to headaches, facial tension, ear pressure, and tinnitus (ringing in the ears). Because the jaw muscles and nerves are interconnected with the ears and head, these symptoms are common in patients with TMD.
How long do CEREC crowns last?
Treatment times vary. Some patients notice pain relief within a few weeks of beginning conservative therapy, while others experience a gradual functional improvement over several months. Your personalized plan, consistency with splint wear and therapy routines, and symptom severity all influence how quickly you feel better.
Does the CEREC procedure hurt?
Insurance coverage for TMJ treatment varies by plan and provider. Some dental and medical plans cover portions of evaluation and conservative therapy. At Core Smiles, our team can verify your benefits, assist with pre-authorization, and supply documentation to help you maximize coverage.
CEREC crowns vs traditional crowns - what's the difference?
Yes. At-home strategies that support professional care include:
- Gentle jaw stretching and relaxation exercises
- Ice or heat therapy
- Soft food diet modifications
- Stress reduction techniques
- Avoiding gum chewing and hard foods
These can reduce muscle tension and discomfort but are best used alongside your customized treatment plan.