Lorem ipsum
Real patient transformations at Core Smiles. See the results of our comprehensive dental care, from porcelain veneers to dental implants.


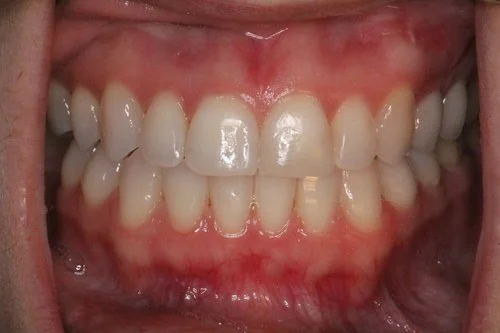
Zoom Whitening
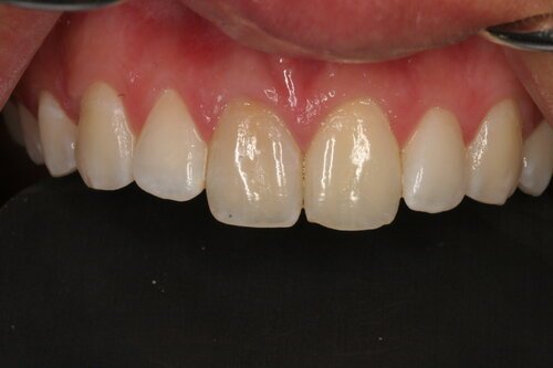
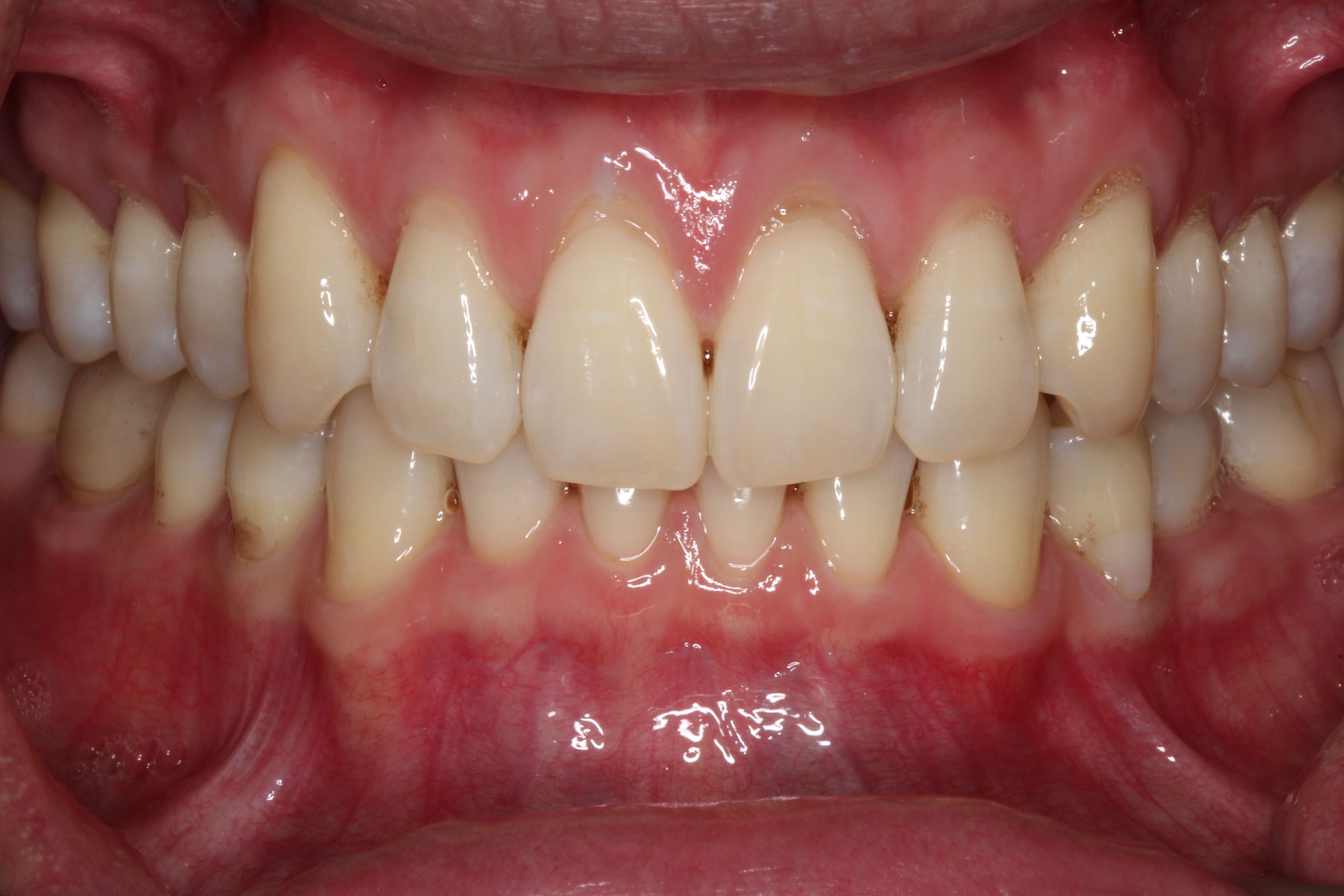
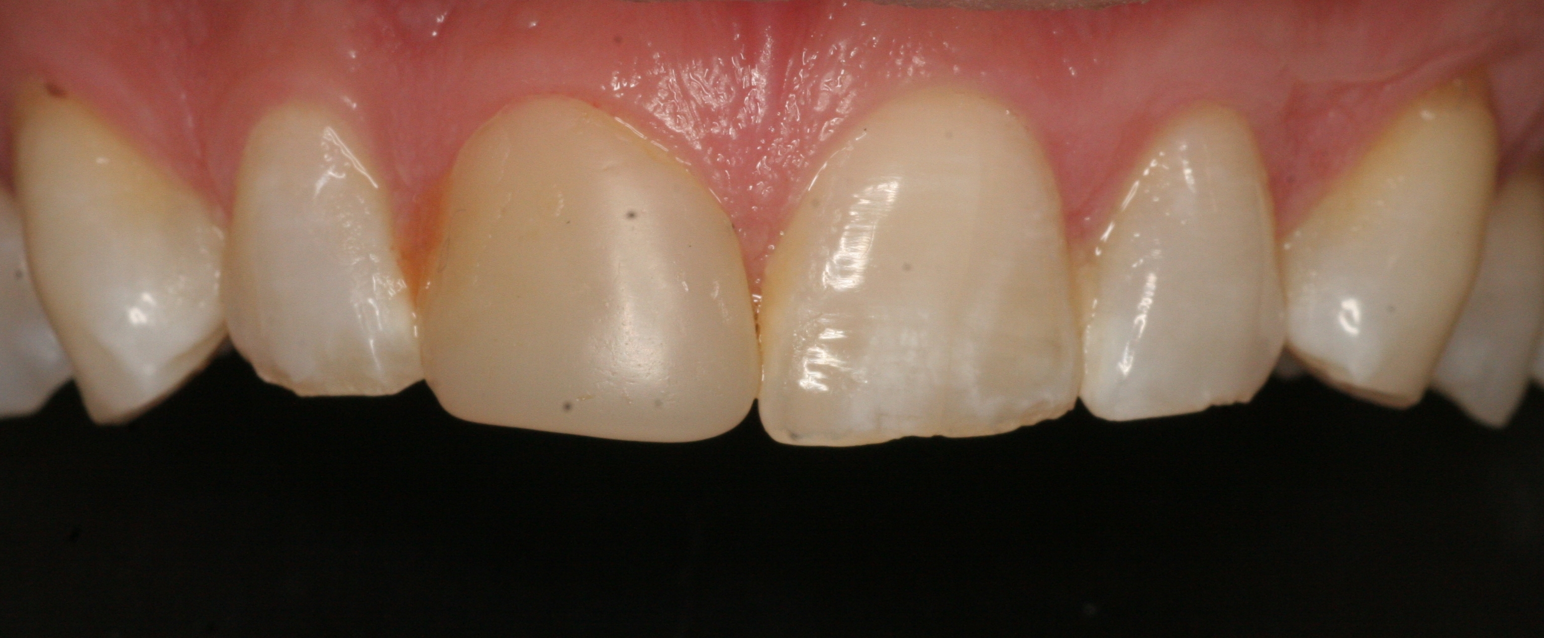
4 Porcelain veneers
-p-500.jpg)
.jpg)
4 porcelain veneers
-p-500.jpg)
-p-500.jpg)
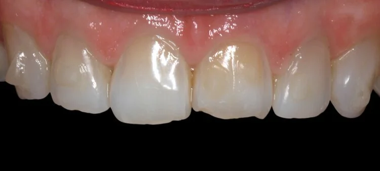
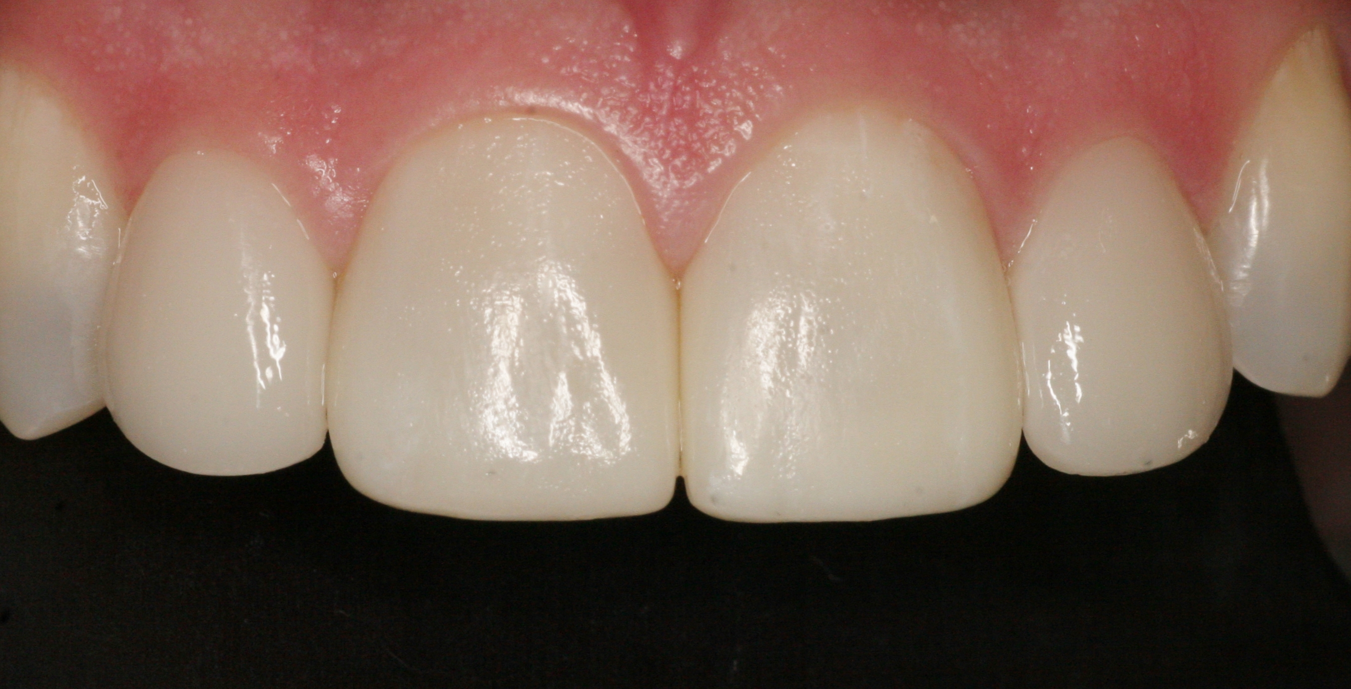
4 porcelain veneers


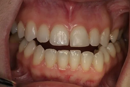
Invisalign
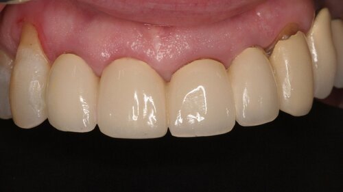
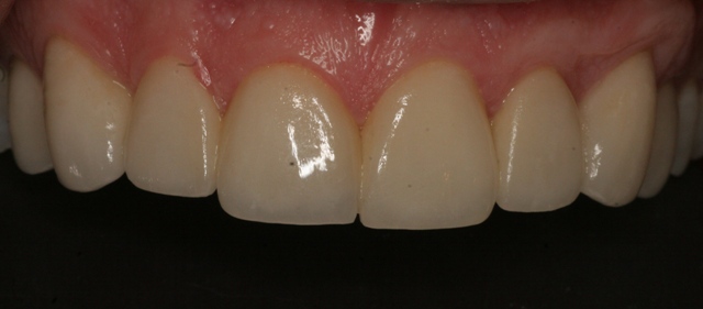
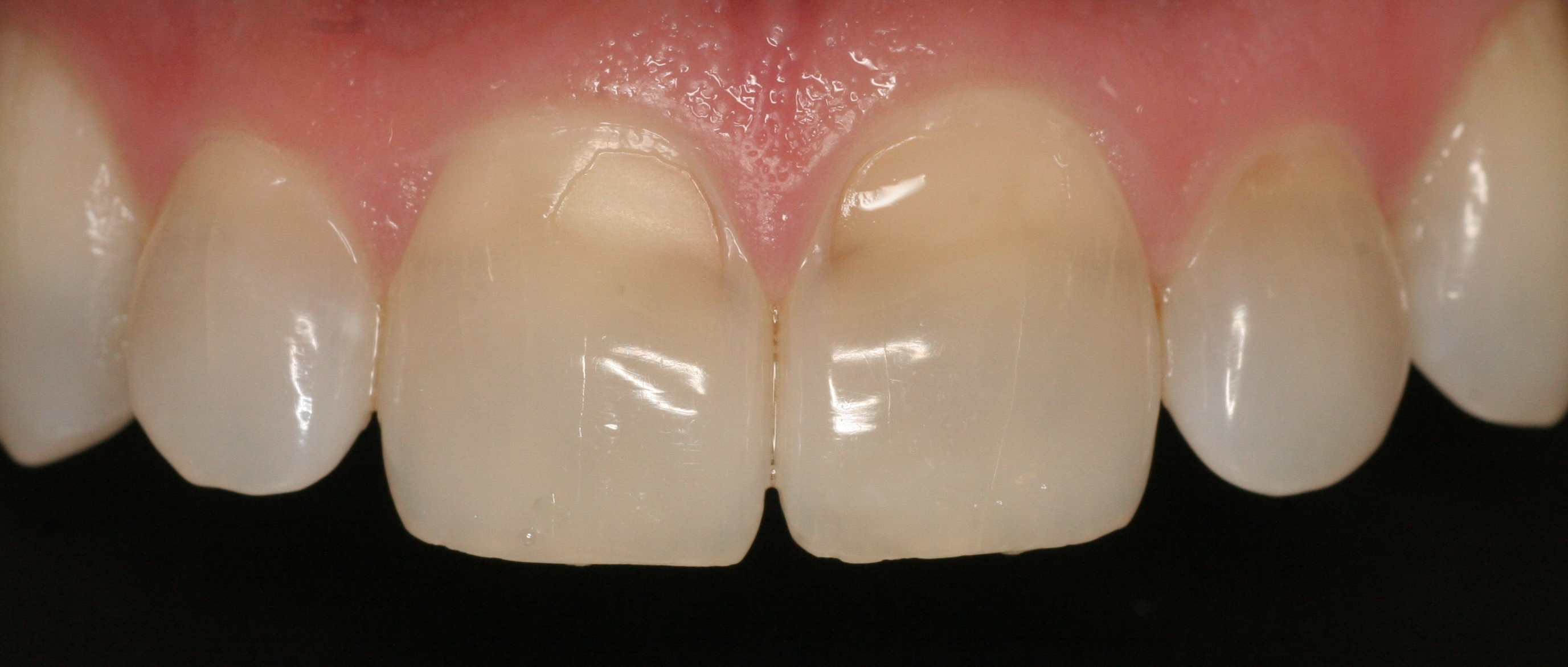
10 porcelain veneers

.png)
Orthodontics
Implant placement
Zoom whitening
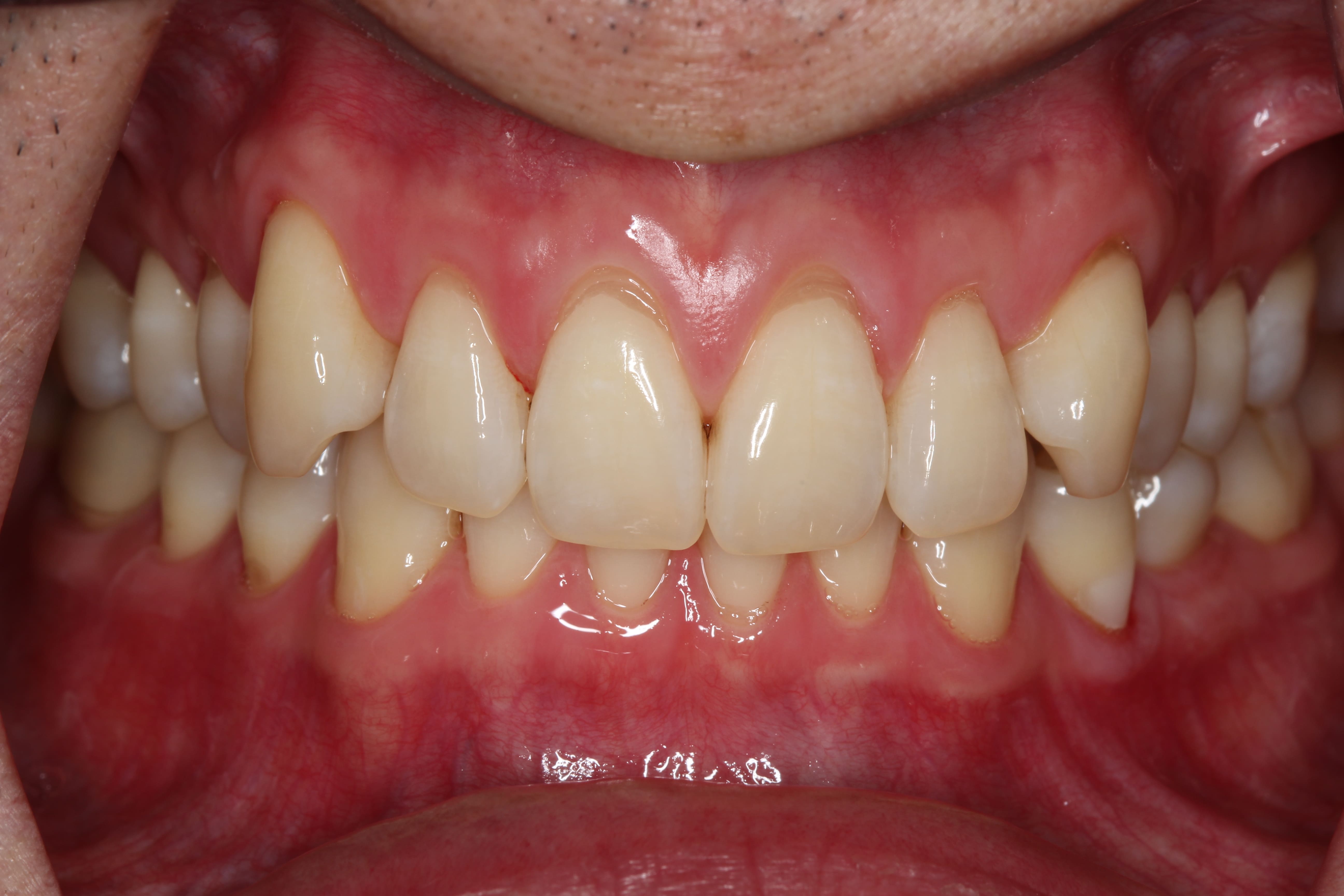
10 porcelain veneers
-p-500.jpg)
-p-500.jpg)
Invisalign
Zoom Whitening
10 porcelain veneers


ZOOM Whitening
2 porcelain veneers






ZOOM Whitening
6 porcelain veneers


Gum lift
Zoom whitening
10 porcelain veneers


Orthotic for TMJ pain
Dental bonding
Invisalign (8 months)
10 porcelain veneers
Dental implants are artificial tooth roots made of titanium or zirconia (a strong metal-free ceramic). They are surgically placed under local anesthesia or conscious sedation. After a 3 month healing period, the dental implant undergoes osseointegration — a process in which your own bone physically attaches to the implant. After osseointegration is complete, teeth can then be attached to the dental implant.


Placement of 6 dental implants, computer-guided for accuracy
Dental crowns, fixed bridgework and dental bonding


3 dental implants
All-ceramic, fixed implant bridge and 2 porcelain veneers
We use the Zoom Advanced Power whitening system and the KöR Deep Bleaching System for patients with Tetracycline-stained teeth. Both Zoom and KöR are safe and effective — on average, patients can expect a three- to six-fold improvement in shade.


Zoom Advanced Power whitening system


Zoom Advanced Power whitening system
Invisalign uses a series of clear removable aligners to straighten your teeth without metal wires or brackets — it is the invisible way to straighten your teeth without traditional braces. Because the treatment involves clear aligners, you will not have to worry about the embarrassment that is often associated with traditional metal braces. Invisalign has been proven effective in clinical research when worn as directed.


Invisalign clear aligners treatment


Invisalign clear aligners treatment
An alternative to porcelain veneers, composite bonding is conservative and more cost-effective. It can be used to repair chipped, cracked, or discolored teeth, close gaps, and improve the overall appearance of your smile — often in just a single visit.




Composite bonding — a conservative and cost-effective alternative to porcelain veneers
Making Care Accessible
At Core Smiles, every visit is centered on you—your comfort, your goals, and your long-term health. From your initial consultation through your final result, we deliver an experience that is seamless, personalized, and carefully curated