
Cosmetic dentistry offers a multitude of benefits that extend beyond mere aesthetics. A beautiful smile can significantly boost one's self-confidence, positively impacting personal and professional interactions.
Moreover, cosmetic dentistry procedures, such as teeth whitening, veneers, and dental bonding, can improve oral health by correcting misaligned teeth, filling gaps, and repairing damaged enamel.
By using advanced techniques and materials that look and feel natural, cosmetic dentistry helps individuals achieve a healthy, radiant smile that reflects their inner vitality.



What Cosmetic Dental Treatment Options Are Offered?
- Dental bonding — used to repair small chips in teeth, gaps in between teeth, correct teeth shapes
- Removal of silver fillings and replacement with tooth-colored composite fillings
- Enamel recontouring — reshaping your teeth to fit your face
- Removal of black lines around old crowns
- Porcelain veneers
- Professional-grade, in-office teeth whitening with Philips Zoom
- Smile makeovers using advanced technology and facial proportions
- Gum lifts and recontouring with soft-tissue dental lasers
- Gummy smile treatment
- Inlays and onlays
- Dental implants
What Is Composite Dental Bonding?
Tooth bonding — also known as dental bonding — is a cosmetic dental procedure in which a tooth-colored composite resin material is applied to a tooth, sculpted into shape, hardened, and polished.
Advantages of Dental Bonding
- Usually requires minimal to no preparation of tooth structure
- Direct technique — done in the clinic, no laboratory work needed
- More economical than porcelain veneers
Disadvantages of Dental Bonding
- May chip or fracture, especially with patients that grind or clench
- Over time, can stain unlike a porcelain veneer
- May require replacement more frequently (every 3–5 years depending on habits)


What Happens During a Dental Bonding Appointment?
If dental bonding is used to repair a small chip in a tooth, the procedure is typically straightforward and can be completed in a single visit.
- The tooth is cleaned with an antimicrobial pumice paste
- A safe etchant is applied to the enamel surface for better adhesion
- Adhesive is applied to the enamel surface
- Tooth-colored composite resin is applied, contoured, and shaped
- The composite is light-cured and hardened
- Final shaping, contouring, and polishing for a natural finish
Understand Our Process
Composite Bonding: Step-by-Step

Composite Bonding
Step-by-step

Pre-Op
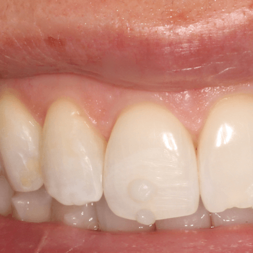
Patient presented with chipped front tooth and worn canine teeth

Shade Mapping
Composite resin matched to enamel

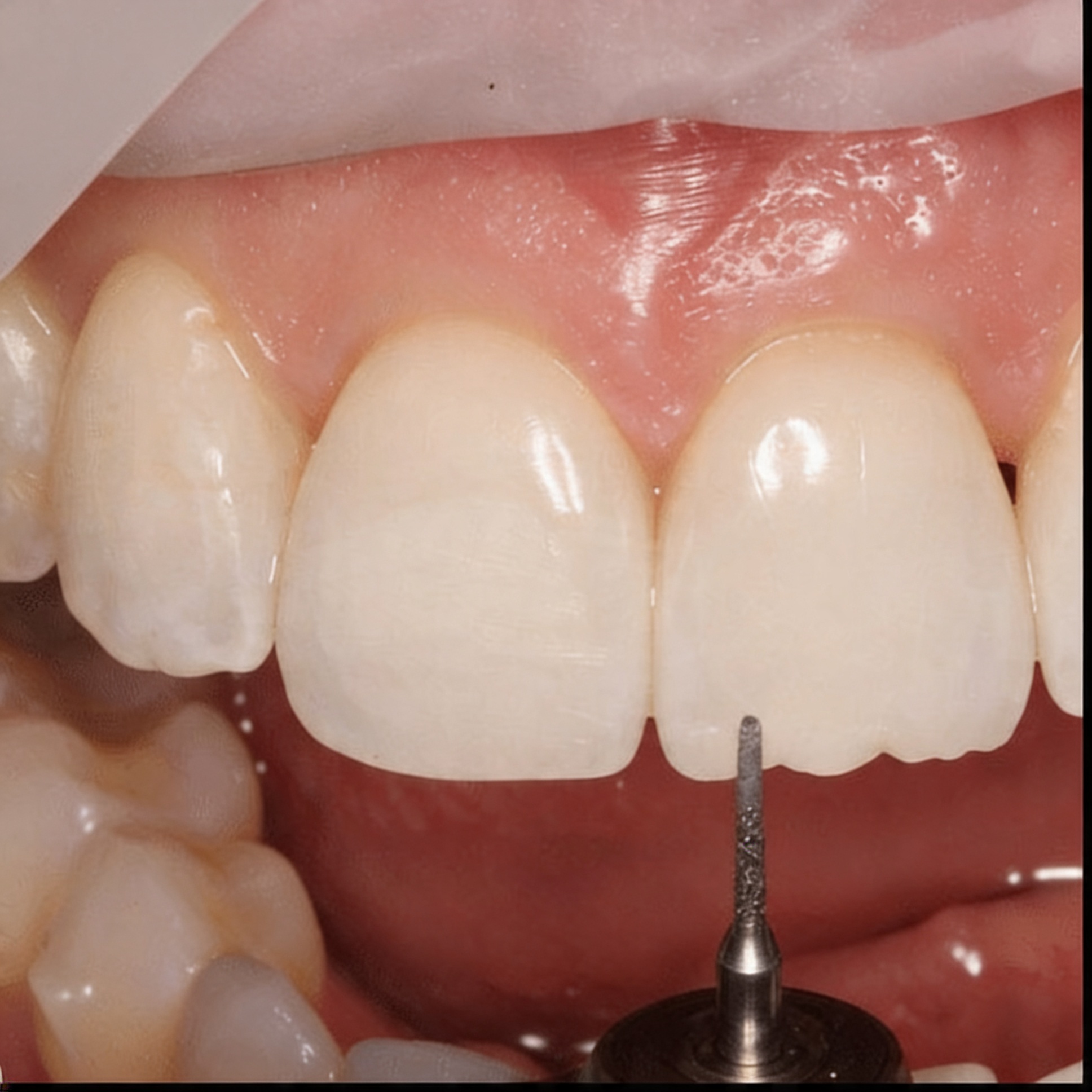
Tooth Preparation
Enamel prepared a 2-3mm bevel with a fine red diamond

Isolate, Etch and Apply Adhesive

Composite Adaptation
Composite adapted to tooth, finished & polished

Results








Frequently Asked Questions
What is cosmetic dental bonding?
Cosmetic dental bonding is a minimally invasive cosmetic procedure where a tooth‑colored resin material is sculpted onto your tooth to repair imperfections such as chips, cracks, gaps between teeth, uneven shape, and mild discoloration. Because bonding can often be completed in a single visit, it’s a popular smile enhancement option for adults in NYC.
How long does cosmetic bonding last?
The lifespan of cosmetic bonding varies — most patients enjoy well‑maintained results for 5 to 10 years. Longevity depends on your oral hygiene, bite habits, diet, and frequency of dental visits. If the bonded material shows wear, it can be polished or replaced to refresh your smile.
Is cosmetic bonding painful?
No. Cosmetic bonding is typically painless and often done without anesthesia. Sensitivity is minimal because the process mainly involves applying and shaping composite resin to the tooth surface. Local anesthesia may be used only if decay is being treated during the same visit.
How much does cosmetic bonding cost in NYC?
The cost of cosmetic dental bonding in New York City depends on the number of teeth being treated and the complexity of your smile goals. At Core Smiles, we provide a customized estimate during a thorough consultation after evaluating your oral health and cosmetic needs. Certain aspects of bonding tied to restorative treatment may be partially covered by dental insurance.
Can cosmetic bonding fix gaps and chips in teeth?
Yes. Cosmetic bonding is very effective for repairing chipped or cracked teeth, closing small gaps, and improving tooth shape. It can be an excellent solution when you want a natural, harmonious smile without placing full crowns or veneers.
How does cosmetic bonding compare to veneers?
Yes. Cosmetic bonding is very effective for repairing chipped or cracked teeth, closing small gaps, and improving tooth shape. It can be an excellent solution when you want a natural, harmonious smile without placing full crowns or veneers.
What should I do after cosmetic bonding to protect it?
To help your bonding last longer:
- Brush and floss regularly
- Avoid chewing on ice, hard candy, or other very hard objects
- Limit staining foods and drinks when possible
- Continue routine dental check‑ups and cleanings
Core Smiles may recommend personalized habits based on your bite and lifestyle.