
Why Cosmetic Dentistry?
Cosmetic dentistry offers a multitude of benefits beyond aesthetics, as it can significantly improve self-esteem and have a positive impact on overall wellness. A confident smile can boost self-esteem and improve self-image, leading to increased social interactions and a more positive outlook on life.
Moreover, cosmetic dentistry procedures, such as teeth whitening, veneers or orthodontic treatment, can correct dental imperfections like discoloration, misalignment, or chipped teeth. This leads to improved oral health by creating a more functional bite and making it easier to maintain proper oral hygiene.
By using advanced techniques and materials that look and feel like real tooth structure, the Core Smiles doctors can customize a smile that perfectly suits your face. With over 20 years of experience in smile design and material science, Dr. Michael Gulizio and Dr. Steven Cordoves can provide a wide array of treatment options to improve your smile and your oral health.



What Cosmetic Dental Treatment Options Are Offered at Core Smiles?
- Dental bonding — used to repair small chips in teeth or close spaces between teeth
- Removal of silver fillings and replacement with tooth-colored fillings
- Enamel recontouring — reshaping your teeth to fit your face
- Removal of black lines around old crowns
- Porcelain veneers
- Professional-grade, in-office teeth whitening with Zoom! Advanced Power
- Smile makeovers using advanced technology and facial analysis
- Gum lifts and recontouring with soft-tissue dental laser
- Gummy smile treatment
- Inlays and onlays
- Dental implants
What Is Cosmetic Dental Bonding?
Tooth bonding — also known as dental bonding — is a cosmetic procedure that repairs chipped teeth, cracked teeth, or alters the shape of teeth. Dental bonding can be used as a primary step to porcelain veneer treatment or in lieu of porcelain veneers.
Advantages of Dental Bonding
- Usually requires minimal to no preparation of tooth structure
- Direct technique — done in the clinic, no laboratory time required
- More economical than porcelain veneers
Disadvantages of Dental Bonding
- May chip or fracture, especially with patients that grind or clench
- Over time, can stain unlike a porcelain veneer
- May require replacement more frequently (every 3–5 years)


What Happens During a Dental Bonding Appointment?
If dental bonding is used to repair a small chip it can usually be done in less than one hour without anesthesia. Regardless of the extent of dental bonding, the process is the same:
- The tooth is cleaned with an antimicrobial pumice and a small portion of enamel is abraded with microscopic particles of aluminum oxide.
- A safe etchant is applied to the enamel surface for 15–30 seconds and then rinsed with water thoroughly.
- Adhesive is applied to the enamel surface.
- Tooth-colored composite resin is applied, contoured to the appropriate shape, and light cured to set.
- The bite is checked and the bonding is polished to a gloss that matches existing tooth structure.
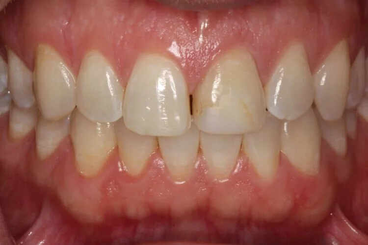
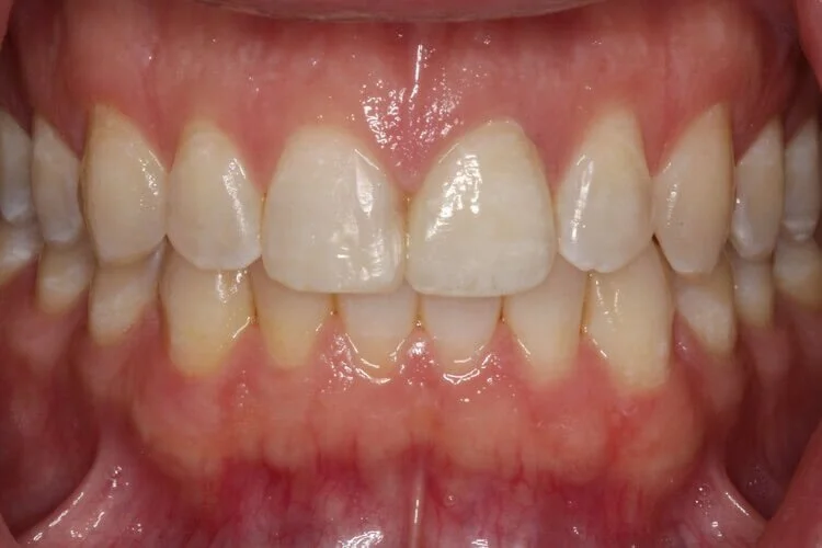
Cosmetic Bonding Before & After
This patient had an old dental bonding on his central incisor that was failing. The adhesive margin displayed areas of discoloration and the bonding was discolored. After providing the patient with the option of a porcelain veneer or a dental bonding, the patient proceeded with direct bonding of the tooth.
In less than 1 hour and without anesthesia, the patient left the clinic with a new dental bonding that integrated harmoniously with his adjacent teeth and smile.


The Process
What Are the Stages of a Dental Bonding Procedure?

Pre-Op
Patient presented with chipped front tooth and worn canine teeth

Shade Mapping
Composite resin matched to enamel

Tooth Preparation
Enamel prepared a 2-3mm bevel with a fine red diamond

Isolate, Etch and Apply Adhesive
The final step in the process involves bonding veneers to your teeth.
Frequently Asked Questions
What is cosmetic dental bonding?
Heading 1
Heading 2
Heading 3
Heading 4
Heading 5
Heading 6
Lorem ipsum dolor sit amet, consectetur adipiscing elit, sed do eiusmod tempor incididunt ut labore et dolore magna aliqua. Ut enim ad minim veniam, quis nostrud exercitation ullamco laboris nisi ut aliquip ex ea commodo consequat. Duis aute irure dolor in reprehenderit in voluptate velit esse cillum dolore eu fugiat nulla pariatur.
Block quote
Ordered list
- Item 1
- Item 2
- Item 3
Unordered list
- Item A
- Item B
- Item C
Bold text
Emphasis
Superscript
Subscript
How long does cosmetic bonding last?
Heading 1
Heading 2
Heading 3
Heading 4
Heading 5
Heading 6
Lorem ipsum dolor sit amet, consectetur adipiscing elit, sed do eiusmod tempor incididunt ut labore et dolore magna aliqua. Ut enim ad minim veniam, quis nostrud exercitation ullamco laboris nisi ut aliquip ex ea commodo consequat. Duis aute irure dolor in reprehenderit in voluptate velit esse cillum dolore eu fugiat nulla pariatur.
Block quote
Ordered list
- Item 1
- Item 2
- Item 3
Unordered list
- Item A
- Item B
- Item C
Bold text
Emphasis
Superscript
Subscript
Is cosmetic bonding painful?
Heading 1
Heading 2
Heading 3
Heading 4
Heading 5
Heading 6
Lorem ipsum dolor sit amet, consectetur adipiscing elit, sed do eiusmod tempor incididunt ut labore et dolore magna aliqua. Ut enim ad minim veniam, quis nostrud exercitation ullamco laboris nisi ut aliquip ex ea commodo consequat. Duis aute irure dolor in reprehenderit in voluptate velit esse cillum dolore eu fugiat nulla pariatur.
Block quote
Ordered list
- Item 1
- Item 2
- Item 3
Unordered list
- Item A
- Item B
- Item C
Bold text
Emphasis
Superscript
Subscript
How much does cosmetic bonding cost in NYC?
Heading 1
Heading 2
Heading 3
Heading 4
Heading 5
Heading 6
Lorem ipsum dolor sit amet, consectetur adipiscing elit, sed do eiusmod tempor incididunt ut labore et dolore magna aliqua. Ut enim ad minim veniam, quis nostrud exercitation ullamco laboris nisi ut aliquip ex ea commodo consequat. Duis aute irure dolor in reprehenderit in voluptate velit esse cillum dolore eu fugiat nulla pariatur.
Block quote
Ordered list
- Item 1
- Item 2
- Item 3
Unordered list
- Item A
- Item B
- Item C
Bold text
Emphasis
Superscript
Subscript
Can cosmetic bonding fix gaps and chips in teeth?
Heading 1
Heading 2
Heading 3
Heading 4
Heading 5
Heading 6
Lorem ipsum dolor sit amet, consectetur adipiscing elit, sed do eiusmod tempor incididunt ut labore et dolore magna aliqua. Ut enim ad minim veniam, quis nostrud exercitation ullamco laboris nisi ut aliquip ex ea commodo consequat. Duis aute irure dolor in reprehenderit in voluptate velit esse cillum dolore eu fugiat nulla pariatur.
Block quote
Ordered list
- Item 1
- Item 2
- Item 3
Unordered list
- Item A
- Item B
- Item C
Bold text
Emphasis
Superscript
Subscript
How does cosmetic bonding compare to veneers?
Heading 1
Heading 2
Heading 3
Heading 4
Heading 5
Heading 6
Lorem ipsum dolor sit amet, consectetur adipiscing elit, sed do eiusmod tempor incididunt ut labore et dolore magna aliqua. Ut enim ad minim veniam, quis nostrud exercitation ullamco laboris nisi ut aliquip ex ea commodo consequat. Duis aute irure dolor in reprehenderit in voluptate velit esse cillum dolore eu fugiat nulla pariatur.
Block quote
Ordered list
- Item 1
- Item 2
- Item 3
Unordered list
- Item A
- Item B
- Item C
Bold text
Emphasis
Superscript
Subscript
What should I do after cosmetic bonding to protect it?
Heading 1
Heading 2
Heading 3
Heading 4
Heading 5
Heading 6
Lorem ipsum dolor sit amet, consectetur adipiscing elit, sed do eiusmod tempor incididunt ut labore et dolore magna aliqua. Ut enim ad minim veniam, quis nostrud exercitation ullamco laboris nisi ut aliquip ex ea commodo consequat. Duis aute irure dolor in reprehenderit in voluptate velit esse cillum dolore eu fugiat nulla pariatur.
Block quote
Ordered list
- Item 1
- Item 2
- Item 3
Unordered list
- Item A
- Item B
- Item C
Bold text
Emphasis
Superscript
Subscript
Making Care Accessible
Precision Dentistry. Personalized for You.
At Core Smiles, every visit is centered on you—your comfort, your goals, and your long-term health. From your initial consultation through your final result, we deliver an experience that is seamless, personalized, and carefully curated