
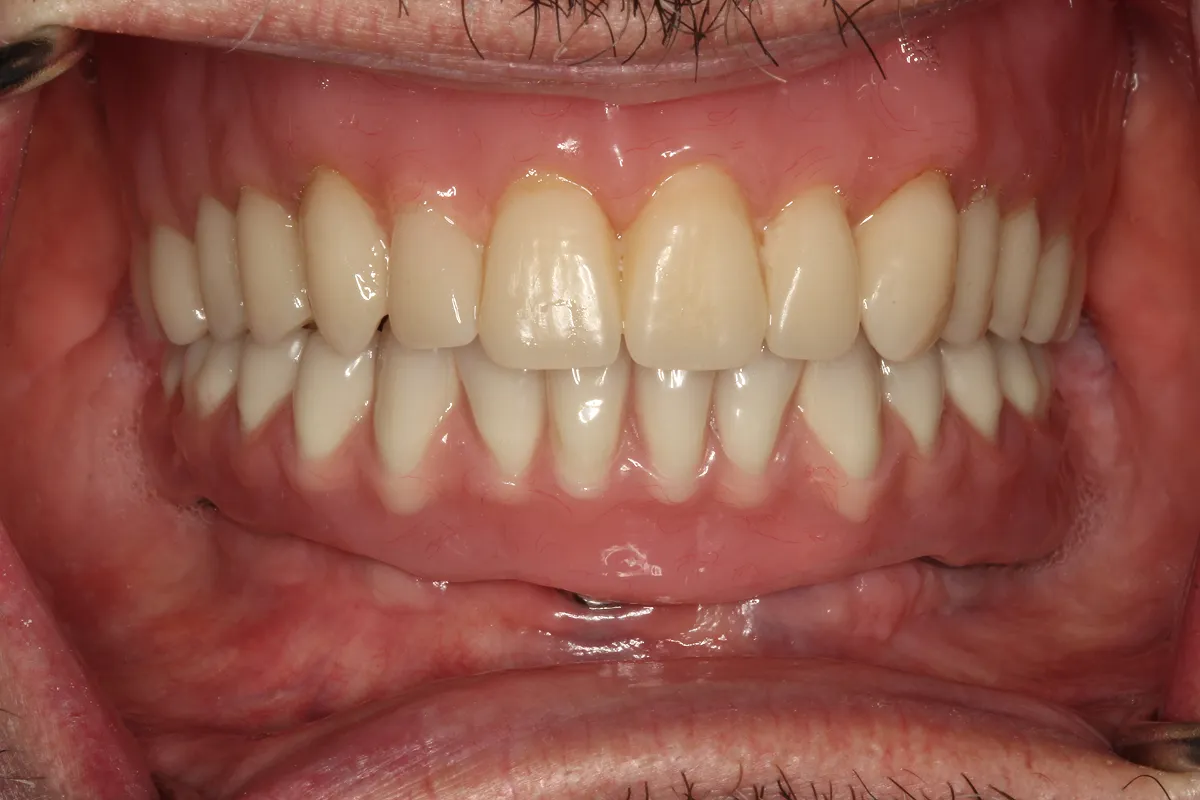
What Are Custom Esthetic Dentures?
Custom-designed esthetic removable dentures offer significant advantages over conventional dentures. Fabricated using high-quality materials that closely mimic the natural appearance of teeth and gums, they are personalized in color, shape, and size to complement each patient's unique facial features. The result is improved chewing function, restored lip support, and renewed confidence in your smile.


The Process
Fabricating an esthetic denture that fits accurately takes time, effort, and precision. The process typically involves four appointments:
- 1st Visit: Photography, impressions, and a detailed consultation about your desired characteristics — including tooth shape, shade, and personal preferences.
- 2nd Visit: Bite records and tooth form try-in to evaluate esthetics and proportions.
- 3rd Visit: Full upper and lower teeth try-in to assess esthetics, speech, and function before final fabrication.
- 4th Visit: Denture insertion — your new smile is delivered.
Will I Need to Use Denture Adhesive?
A well-constructed, well-fitting denture should not require adhesive to stay in place. We caution against the use of silicone-based adhesives, which can cause digestive issues when ingested over time. If your current denture requires adhesive to function, it may be time for a consultation — refitting or replacing the denture is often the better solution.
What If I Don't Have Enough Bone?
In cases where there is insufficient bone structure to support a stable denture, dental implants can be used to anchor and stabilize the prosthetic. Implant-supported dentures dramatically improve chewing efficiency, eliminate the need for adhesives, and help patients maintain better nutrition and quality of life.


Our Expert
Our Denture Expert
Dr. Michael Gulizio is one of New York City's leading experts in custom removable dentures. With an exceptional eye for detail and a commitment to personalized care, he combines advanced techniques and the highest-quality materials to craft dentures that look, feel, and function naturally. Dr. Gulizio stays at the forefront of the latest advancements in removable prosthetics to ensure every patient receives the best possible outcome.
FAQ
Frequently Asked Questions
Heading
Heading 1
Heading 2
Heading 3
Heading 4
Heading 5
Heading 6
Lorem ipsum dolor sit amet, consectetur adipiscing elit, sed do eiusmod tempor incididunt ut labore et dolore magna aliqua. Ut enim ad minim veniam, quis nostrud exercitation ullamco laboris nisi ut aliquip ex ea commodo consequat. Duis aute irure dolor in reprehenderit in voluptate velit esse cillum dolore eu fugiat nulla pariatur.
Block quote
Ordered list
- Item 1
- Item 2
- Item 3
Unordered list
- Item A
- Item B
- Item C
Bold text
Emphasis
Superscript
Subscript
Heading
Heading 1
Heading 2
Heading 3
Heading 4
Heading 5
Heading 6
Lorem ipsum dolor sit amet, consectetur adipiscing elit, sed do eiusmod tempor incididunt ut labore et dolore magna aliqua. Ut enim ad minim veniam, quis nostrud exercitation ullamco laboris nisi ut aliquip ex ea commodo consequat. Duis aute irure dolor in reprehenderit in voluptate velit esse cillum dolore eu fugiat nulla pariatur.
Block quote
Ordered list
- Item 1
- Item 2
- Item 3
Unordered list
- Item A
- Item B
- Item C
Bold text
Emphasis
Superscript
Subscript
Heading
Heading 1
Heading 2
Heading 3
Heading 4
Heading 5
Heading 6
Lorem ipsum dolor sit amet, consectetur adipiscing elit, sed do eiusmod tempor incididunt ut labore et dolore magna aliqua. Ut enim ad minim veniam, quis nostrud exercitation ullamco laboris nisi ut aliquip ex ea commodo consequat. Duis aute irure dolor in reprehenderit in voluptate velit esse cillum dolore eu fugiat nulla pariatur.
Block quote
Ordered list
- Item 1
- Item 2
- Item 3
Unordered list
- Item A
- Item B
- Item C
Bold text
Emphasis
Superscript
Subscript
Heading
Heading 1
Heading 2
Heading 3
Heading 4
Heading 5
Heading 6
Lorem ipsum dolor sit amet, consectetur adipiscing elit, sed do eiusmod tempor incididunt ut labore et dolore magna aliqua. Ut enim ad minim veniam, quis nostrud exercitation ullamco laboris nisi ut aliquip ex ea commodo consequat. Duis aute irure dolor in reprehenderit in voluptate velit esse cillum dolore eu fugiat nulla pariatur.
Block quote
Ordered list
- Item 1
- Item 2
- Item 3
Unordered list
- Item A
- Item B
- Item C
Bold text
Emphasis
Superscript
Subscript
Heading
Heading 1
Heading 2
Heading 3
Heading 4
Heading 5
Heading 6
Lorem ipsum dolor sit amet, consectetur adipiscing elit, sed do eiusmod tempor incididunt ut labore et dolore magna aliqua. Ut enim ad minim veniam, quis nostrud exercitation ullamco laboris nisi ut aliquip ex ea commodo consequat. Duis aute irure dolor in reprehenderit in voluptate velit esse cillum dolore eu fugiat nulla pariatur.
Block quote
Ordered list
- Item 1
- Item 2
- Item 3
Unordered list
- Item A
- Item B
- Item C
Bold text
Emphasis
Superscript
Subscript
Making Care Accessible
Precision Dentistry. Personalized for You.
At Core Smiles, every visit is centered on you—your comfort, your goals, and your long-term health. From your initial consultation through your final result, we deliver an experience that is seamless, personalized, and carefully curated